Bienvenidos !!!
Nuestra Sociedad Medica ha creado una Consulta Multidisciplinaria Científica y Humana para ofertar garantías y nuevas perspectivas en el control de nuestros pacientes . Aquí los protagonistas somos todos. Tengo el concepto de que el respeto mútuo en la Relación Medico-Paciente no está separado de la comunicación, la confianza y la empatía. Este proyecto lo quiero compartir con todos vosotros y como firme seguidor de Hipócrates creo en la Medicina como Ciencia, Arte y Filosofía.
 22.45.37.png)
Ofertamos :
1- VII CURSO INTERNACIONAL ECOGRAFÍA PULMONAR ( REA , URPA , UCI ) 21 Y 22 de Abril 2017, Madrid
 20.09.50.png)
Reserva de Plaza:
ecopulmonar@gmail.com
Lanzamiento del Libro: 4ta Edición
El Arte de la Ecografía Pulmonar
VII Curso Internacional Mayo 2017
Autor: Dr. Ernesto Delgado Cidranes
Incluye Elastografía y 3D/4D Ecopulmonar
Strain / Strain Rate Pulmonar
CD con pdf , vídeos e imágenes
Especial para Alumnos del Curso
 17.29.37.png)
Actualmente Nuestro Equipo trabaja varios proyectos de Investigación
 14.46.28.png)
1-Utilización del Ácido Hialurónico en la patología tendinosa ( Recogida de datos) n 314 hasta la fecha 10/05/2015 .Hospital Ruber/ Hospital La Milagrosa
2-Evaluación de la Dexmetomidina como Anestésico General en Cirugía Mayor de Alto Riesgo y como Analgésico en Dolor Postoperatorio y Dolor crónico .( Recogida de Datos ) n 77 hasta la fecha 23/12/2014 . Hospital Gómez Ulla - Hospital Ruber - Hospital La Milagrosa
3-Aplicación de Células Madre Mesenquimales de Médula Osea ( Recogida de datos ) Hospital Ruber/ Hospital La Milagrosa
4- Ensayo Clínico Multicentrico, Nuevo Fármaco en Dolor Neuropático ( Paciente con Dolor Neuropático Postquirúrgico ) Recogida de Datos . Clínica Ruber ( Finalizado)
5- Participamos en Estudio Multicentrico Johns Hopkins University School of Medine , USA , Predicting Medical Test Results and Intra-Operative Findings in Chronic Pain Patients Using the On-Line Pain Validity .(Finalizado)
6- Estimulación Magnética Cerebral (rTMS) en dolor crónico, Hospital Ruber- Hospital La Milagrosa
7-Asociación de Oxicodona/ Naloxona + Lacosamida oral e IV en el control del dolor neuropático moderado- severo. Hospital Ruber/ Hospital La Milagrosa
8-Intervencionismo guiado por Ecografía Avanzada ( Elastografía y 3D/4D) Estudio que incluye radiofrecuencia ecoguiada y volumetría de la patología de columna, cadera, hombro, rodilla . Hospital Ruber/ Hopsital La Milagrosa n 174 ( hasta la fecha 10/05/2015)
9- Estimulación Magnética Cerebral Profunda No Invasiva Brainsway. Equipo Multidisciplinar Neuromodulación Hospital La Milagrosa
10- Tecnología Physicalm en dolor crónico (Recogida de datos) Hospital La Milagrosa/ Hospital Ruber n 53 10/05/15
11- Tecnología Neas Topology en dolor crónico( Recogida de datos) Hospital La Milagrosa/ Hospital Ruber n 21 10/05/15
12. ANI Analgesia Nociception Index / Chronic Regional Pain Syndrome. Dexmedetomidine, ketamine, Lidocaine, Lacosamide.
Células Madre
( Pinchar Aquí o sobre la imágen )
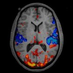
Se puede ver el dolor ? Pues sí
 19.01.17.png)
La evaluación del dolor a través de la Resonancia Magnética es el Futuro , la Dra Catalá ( Anestesióloga y Experta en Dolor ) en Barcelona es pionera de una investigación seria e interesante que ya recoge sus frutos y nos ilusiona .
 19.07.38.png)
 13.58.45.png)
Encuesta
¿ Qué medicación utiliza para el control de su dolor Neuropático ?
Lacosamida ( VIMPAT ) (107)
Gabapentina (29)
Amitriptilina (12)
Duloxetina (18)
Tapentadol (PALEXIA) (24)
Otros (23)
Votos totales: 244
DR. ERNESTO DELGADO CIDRANES
 23.46.57.png)
CÉLULAS MADRE
679 620 947
679 620 947
Fusion Image
Advanced Ultrasound + MRI (Real Time)

Elastografía y Ecografía 3D/4D
STRAIN / STRAIN RATE
(Pioneros en el mundo)
VIRTUAL NAVIGATOR
 17.54.18.png)
Aplicada al Estudio y Tratamiento del Dolor
 18.53.53.png)
 15.35.32.png)
 09.40.13.png)
Colaboración Especial
Es un privilegio iniciar nuestra apuesta de
" JOIN VENTURE "
en este 2014 con un excelente amigo .
El Dr . Jose Luis de Córdoba Benedicto
 15.26.02.png)
Anestesiólogo , Profesor y Experto Intervencionista en dolor y así fortalecer la calidad de atención de nuestros pacientes tanto en MADRID como en BARCELONA .
Nuestros pacientes se favorecerán de técnicas tan complejas como la vertebroplastia y micro -compresión del ganglio de Gásser ( Mullan ) entre otras.
Os dejo el link de su página web y su dilatada experiencia en el campo del intervencionismo . ( PINCHAR AQUÍ )
Dirección en Barcelona donde podéis consultarnos para valorar y personalizar cada estrategia de atención y programar vuestro intervencionismo .
Unidad del Dolor ( Dolor Salut )
Pl. Joan Oliu, 7
Sabadell 08201 (Barcelona)
Tel. 93 7278090
Fax. 93 7277622
Consultas en Catalan ,Castellano e Inglés
 18.32.23.png)
MILD
La Nueva Técnica Minimamente Invasiva que desarrollaremos para nuestros pacientes con Estenosis del Canal Lumbar
Presentada por primera vez en España, Congreso de la Sociedad Española de Dolor, Toledo 2014
Journal of Anesthesia & Critical Care
Ya disponible en Nuestra Unidad
Estimulación Magnética Transcraneal
Estimulación Cerebral No Invasiva rTMS
 19.15.15.png)
 02.59.51.png)
 23.06.33.png)
 21.31.20.png)
 14.12.36.png)
 12.22.01.png)
 14.16.24.png)
 22.23.48.png)
 19.11.32.png)
 20.21.24.png)
 13.48.22.png)
 12.37.42.png)



 20.24.50.png)
 21.37.20.png)
 16.32.14.png)